epitelio

epitelio

(< epi- + gr ϴηλή ‘mamila’)

s m [ANAT]

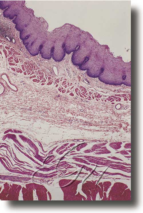
Tecido que recobre as superficies externas e internas do corpo e que procede do ectoderma e do endoderma. Está formado por células de diferentes formas xeométricas e disposición variada, separadas por pouca substancia intercelular. Non ten vasos, e a súa nutrición realízase a través da membrana que o separa dos tecidos máis profundos, denominados basais. A súa función varía segundo o tipo de epitelio e o lugar onde estea situado; por exemplo, nas pilosidades intestinais é a absorción, na epiderme a protección, e nas glándulas a fabricación de secrecións. Pódese distinguir entre epitelio simple, cando ten unha soa capa de células; epitelio estratificado, cando ten máis dunha capa de células e pode estar queratinizado ou non, e epitelio pseudoestratificado, que aparece cando nun epitelio simple as células hai pouco tempo que se dividiron.

Palabras veciñas

epitaxial | epiteca | epitelial | epitelio | epitelioma | epitema | epítema